KakaoTalk_20250708_170206770

아이브 치과 웹블로그는 구강악안안면외과 & 통합치의학과 더블보드 전문의 대표원장의
깊이 있는 통찰력과 경험을 생생하게 담아내고 있습니다.
환자 여러분의 궁금증을 해소하고 진정한 치과 건강을 위한 믿을 수 있는 길잡이가 되어 드리겠습니다.

ive_profile_00

전주충치치료, 실제 치료과정을 낱낱이 보여드립니다!

전주사랑니발치 수면마취로 편안하고 두렵지 않게 아이브치과에서

전주 임플란트 수면 임플란트로 편안하게 아이브치과에서

전주에코시티치과 임플란트는 구강악안면외과 전문의를 믿어보세요

전주충치치료 디지털 장비와 실력을 갖춘 아이브치과에서

송천동치과 구강악안면외과 전문의의 임플란트를 만나보세요

전주임플란트 임플란트 퀄리티 차이를 직접 만나보세요.

에코시티치과 한 듯 안 한 듯 자연스러운 충치 치료 결과물을 만나보세요

전주송천동치과 전체 임플란트는 구강악안면외과 전문의에게

전주 수면임플란트 고난이도 케이스도 구강악안면외과 전문의에게

전주 치아미백 이벤트가로 저렴하지만 확실한효과 아이브치과에서

전주 사랑니발치 구강악안면외과 전문의가 진료하는 아이브치과에서

전주 임플란트 고난도 임플란트도 손쉽게 아이브치과에서

전주치과 전악 임플란트는 구강악안면외과 전문의에게

전주송천동치과 의식하진정요법으로 보다편안하게

전주 사랑니치과 발치는 구강악안면외과 전문의에게 안 아프게

전주치과 산재, 자동차보험도 비용 부담 없이 아이브치과에서

전주에코시티치과 구강악안면외과 전문의가 진행하는 당일 임플란트

전주치아미백 누런 치아의 변화를 직접 확인하고 싶다면

전주치과 어려운 임플란트도 걱정 없도록 구강악안면외과 전문의에게

전주사랑니발치, 통증은 최소화하고 신속하게 발치하고 싶다면 구강악안면외과 전문의에게

전주치아교정, 눈에 띄는 앞니도 미니쉬로 자연스럽게

전주임플란트 편안한 수면 임플란트가 가능한 아이브치과에서

ive_webblog_z

전주사랑니발치, 통증은 최소화하고 신속하게 발치하고 싶다면 구강악안면외과 전문의에게

 

안녕하세요! 아이브치과 대표원장 구강악안면외과 전문의 박종훈입니다.

 

많은 환자분께서 발치를 위해 저희 치과에 찾아주셔서, 1월에도 300개가 넘는 발치를 시행하였는데요.

​저희 치과를 믿고 찾아주심에 항상 감사할 따름입니다.

 

 

 

저희 치과에서 사랑니를 발치하신 분들께서 좋은 후기도 남겨주시어 볼 때마다 더더욱 보람을 느끼는데요.

구강악안면외과 전문의답게 환자분들의 사랑니를 깔끔하게 뽑아드릴 수 있도록 더더욱 노력하겠습니다.

 

​이전에는 치과 전문의라는 개념이 잘 없어서 그냥 치아에 문제가 있으면 아무 치과나 찾아가시는 분들이 많았지만,

최근 환자분들의 인식이 많이 바뀌시면서 전문의가 진료하는 치과를 찾아가시는 경우가 많은데요

 

 

 

예를 들면, 교정이 필요한 경우는 교정과, 소아 치료의 경우는 소아 치과 이런 식으로 과별 전문의의 진료를

받기 위해 치과를 선택하시는 경우가 많습니다.

 

​아무래도 그 분야에 대해 많이 공부하고 진료 경험도 많은 전문의인 만큼 전문의를 찾아가신다면 보다 나은 치료

결과도 기대할 수 있을 것이라 생각합니다.

 

그래서 사랑니 발치와 임플란트와 같은 수술의 경우에는.

 

꼭 구강악안면외과 전문의를 찾아가시는 것을 추천해 드립니다.

 

 

사랑니 발치의 경우에도 어떤 치과의사라도 할 수 있는 간단한 시술처럼 보이지만, 신경관에 걸쳐있는 사랑니의 경우에는 잘못 발치하면 감각 이상 등의 부작용이 올 수 있습니다.

 

​또한, 매복사랑니의 경우에는 경험이 없는 의사가 발치 하면 절개 면적이 커지게 되고,

 

​한꺼번에 뽑지 못하여 잇몸을 다 헤집어 놓는 경우도 발생할 수 있기 때문에 환자분들은 큰 통증과 후유증에 시달리게 됩니다.

 

구강악안면외과 전문의의 경우에는 구강의 해부 구조에 대해 잘 파악하고 있으므로 사랑니의 위치와 모양에 따라접근 경로를 설정하고 최소 절개와 최단 시간에 발치를 하고 있습니다.

 

 

따라서 매복사랑니의 경우에도 환자분께서 통증을 거의 느끼지 않으시며 발치 시간도 짧고 간단하게 발치가 가능합니다!

 

​그래서 개원한 지 1년밖에 안 되었지만 많은 환자분께서 사랑니 발치를 위해 저희 아이브치과에 찾아와 주시고 계십니다.

 

아이브치과에 사랑니 발치를 위해 내원하신다면 한분 한분 세심하게, 통증이나 후유증이 없도록 빠르고 정확하게 발치를 해드릴 것을 약속드리겠습니다.

 

그러면 오늘의 발치 환자분을 소개해 드리겠습니다.

 

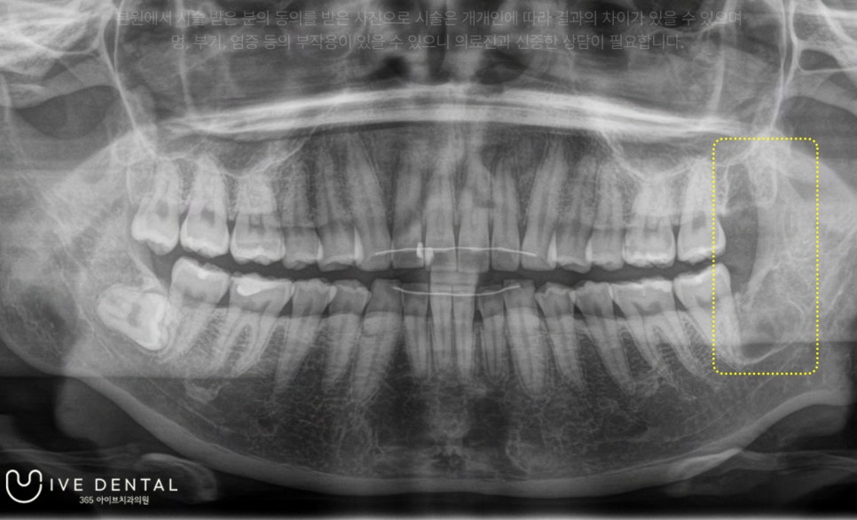
돌출 사랑니와 매복사랑니가 있는 30대 환자분

 

군산에 사시는 30대 여성 환자분이신데요!

 

​양쪽 상악에 돌출 사랑니와 하악에 매복 사랑니가 보입니다.

 

환자분께서는 전부터 매복사랑니 부위에 간헐적으로 통증이 발생하여 발치를 하고 싶으셨지만, 매복사랑니라서 군산에 다니시던 기존 치과에서 발치가 불가능하였고 큰 병원에 가보기를 권유받으셔서 저희 병원에 내원하셨습니다.

 

저희 아이브치과에서는 양쪽 사랑니 4개 모두 하루에 발치 진행이 가능하지만, 환자분께서는 왼쪽 사랑니부터 발치를 원하셨습니다.

 

​마취 후 바로 전주사랑니발치를 진행하였고요

 

 

환자분을 골치 아프게 하던 사랑니가 깔끔히 제거된 것이 보이시나요?

매복사랑니와 돌출 사랑니 발치에 총 걸린 시간은 5분 내외입니다.

 

이렇듯 전주사랑니발치를 진행하는 아이브치과에 내원하시면, 간단하고 빠르게 골칫덩이였던 사랑니를 제거하실 수 있습니다.

​사랑니 같은 경우에 간헐적으로 통증이 발생하거나 주위 잇몸이 붓는 경우도 많고. 칫솔질이 쉽지 않기 때문에 결국 놔두면 충치가 발생하게 되는데요.

 

그런데도 사랑니 발치를 망설이시는 이유는 단연 통증에 대한 공포 때문일 것이라고 생각됩니다.

 

​저는 구강악안면외과 전문의로서 여러 가지 방법으로 통증을 줄이기 위해 연구했는데요.

 

먼저 무통 마취기와 마취 기술입니다.

 

 

이 무통 마취기의 경우에는 일반 마취기보다 마취 바늘의 굵기가 매우 가늡니다.

​그래서 찌를 떄의 통증도 거의 없고요.

 

​마취액도 전자식으로 조절해서 들어가기 때문에 주사시의 통증도 매우 적습니다.

 

또한 저는 구강악안면외과 전문의로서 수없이 많은 마취를 해봤기 때문에 경험적으로 어느 부위를 찔러야 통증이 적은지 알고 있습니다.

 

​마취에는 치과 의사의 실력도 정말 중요한데요.

 

아이브치과에 오시면 정말 하나도 아프지 않은 마취를 보여드리겠습니다.

 

 

두 번째로 전주사랑니발치 시 출혈을 잘 잡지 못하면 마찬가지로 통증이 발생하게 되는데요.

​저희 치과에서는 사랑니 발치 시 콜라겐 지혈제를 사용하여 발치 부위가 잘 지혈될 수 있도록 합니다.

 

콜라겐 지혈제는 잇몸과 밀착되어 출혈 부위를 덮어주기 때문에 출혈로 인한 통증이나 감염 등을 막아주는 역할을 합니다.

 

 

세 번째로 최근 주목받고 있는 물질인 PDRN이라는 주사인데요.

​이 PDRN 주사는 연어에서 추출한 DNA로 만든 성분으로 뛰어난 재생 효과를 지니고 있어 발치로 인한 상처 치유에 큰 도움이 됩니다!

 

특히 잇몸염증이 심한 경우나 치유 속도가 느린 환자의 경우 염증을 완화하며 빠른 조직의 재생을 도모할 수 있습니다.

 

 

이렇듯 전주사랑니발치 아이브치과에서는 구강악안면외과 전문의의 뛰어난 발치 스킬과 함께 여러 가지 약물 및 기술을 이용하여 환자분들의 통증 감소 및 후유증 감소에 도움을 드리고 있으니 사랑니 발치가 필요하시다면 안심하고 찾아주셔도 됩니다!

 

단 예약 하지 않고 내원 시 기존 예약 환자분들 진료로 인해 발치가 불가능할 수도 있으니 꼭 예약 후 내원해 주세요!

 

​이상 아이브치과 대표원장 구강악안면외과 전문의 박종훈이었습니다. 감사합니다.