아이브 치과 웹블로그는 구강악안안면외과 & 통합치의학과 더블보드 전문의 대표원장의
깊이 있는 통찰력과 경험을 생생하게 담아내고 있습니다.
환자 여러분의 궁금증을 해소하고 진정한 치과 건강을 위한 믿을 수 있는 길잡이가 되어 드리겠습니다.
전주에코시티치과 구강악안면외과 전문의가 진행하는 당일 임플란트

안녕하세요, 아이브치과 대표원장 구강악안면외과 전문의 박종훈입니다.
저희 치과의 원장인 제가 구강악안면외과 전문의인 만큼 저희 아이브치과에는 무엇보다 임플란트 등
치아 관련한 여러 가지 수술을 위해 내원하시는 환자분들이 많은데요.
개원 처음에는 신규 치과기 때문에 저희 치과를 알리느라 칫솔도 돌리고 여러 방면으로 홍보하려고 했지만
이제는 개원한 지 1년이 넘어서 그동안 저희 치과에서 수술하시고 치료를 받으신 분들이 또 다른 환자분들을
소개해 주셔서 내원하시는 경우가 많습니다.
이렇게 환자분들이 많이 찾아주고 계심에 늘 감사할 따름입니다.
소개해 주신 높은 신뢰를 절대 실망으로 이어지지 않도록 최선을 다해서 치료하도록 하겠습니다.

저희 아이브치과의 장점을 3가지만 설명해 드리자면요.
첫째, 치과 치료에 필요한 고가의 최신 장비들을 가지고 있습니다.
제가 직접 수술을 하는 만큼 장비 욕심이 많은 편인데요.
저희 전주에코시티치과, 아이브치과의 장비는 전국 어느 치과에 비교해도 절대 밀리지 않는다고 자부합니다.
최신 치과 치료에는 더욱 세밀한 진단과 치료가 중요시되기 때문에 장비가 정말 중요한데요.
치아는 단 0.1mm만 어긋나도 불편감을 느끼게 되며 결국 삐뚤어진 부위가 마모되어 오래 쓰지 못하게 되기 때문에
좀 과하다 싶을 정도로 정밀하고 꼼꼼하게 치료하는 것이 중요합니다.
치과 의사의 실력도 중요하지만 정밀한 검사 및 치료가 가능한 장비가 없다면 완벽한 치료가 어렵게 됩니다.

전주에코시티치과에는 높은 해상도를 자랑하는 대학 병원급의 SIRONA AXEOS라는 CT를 이용하여
환자분의 치아 상태를 세밀하게 진단하고
원내 기공 장비들을 이용해 원장인 제가 환자분의 크라운, 인레이, 임플란트 등 보철물을 직접 디자인 하여 제작합니다.
수억 원에 달하는 장비이지만 더 완벽한 치료를 위해서 도입하였습니다.
치료를 받아보시면 결과물에 있어서 확실한 차이를 느끼실 것이라고 생각합니다.

두 번째 이유는 환자분들의 저희 치과를 좋아하시는 이유인데요.
약 200여대 이상 주차가 가능한 넓은 주차장입니다.
제가 개원 위치를 선정할 때도 가장 신경을 썼던 부분인데요.
주차가 불편하면 병원에 가기가 귀찮아집니다.
또한 치과는 여러 번의 내원을 해야 하는 치료가 많기 때문에 더더욱 중요한데요.
지하 2층까지 주차장을 상가 단독으로 쓰고 있기 때문에 언제 오셔도 널찍한 자리에 편하게 주차하실 수 있습니다.
차량을 편하게 대시고 지하 주차장과 연결된 엘리베이터를 타기만 하면, 바로 치과 문 앞에서 내리게 됩니다.
물론 주차비는 무료입니다!

세 번째로 단연 치과의사의 실력인데요.
저는 구강악안면외과 전문의로 전북대학교 치과병원에서 4년간 수련을 받았습니다.
대학병원에서 근무할 당시 수많은 어려운 수술들과 임플란트 수술, 발치 등에 대해 경험을 쌓고 배우게 되었는데요.
그래서 수술 하나만큼은 정말 자신이 있습니다.
치과 수술의 경우에는 미세한 영역인 만큼 치과 의사의 실력이 정말 중요하고 치과 의사의 실력에 따라
수술 시 통증이나 불편감의 차이도 정말 클 수밖에 없는데요.
저를 믿고 내원하시는 환자분이 불편감이나 통증을 느끼시지 않도록 빠르고 정확하게 수술을 해드리겠습니다.
임플란트 수술 전문, 전주에코시티치과는 구강악안면외과 전문의인 만큼 믿고 맡기셔도 됩니다 .

통증이 심한 60대 남자 환자분의 임플란트 시술
그럼 오늘의 환자분을 소개해 드리겠습니다!
잇몸 통증으로 잠을 못 잘 만큼 통증이 심하여 내원하신 60대 남자분이셨습니다.
너무 통증으로 힘들어하셔서 당일에 치료를 받기 원하셨는데요.
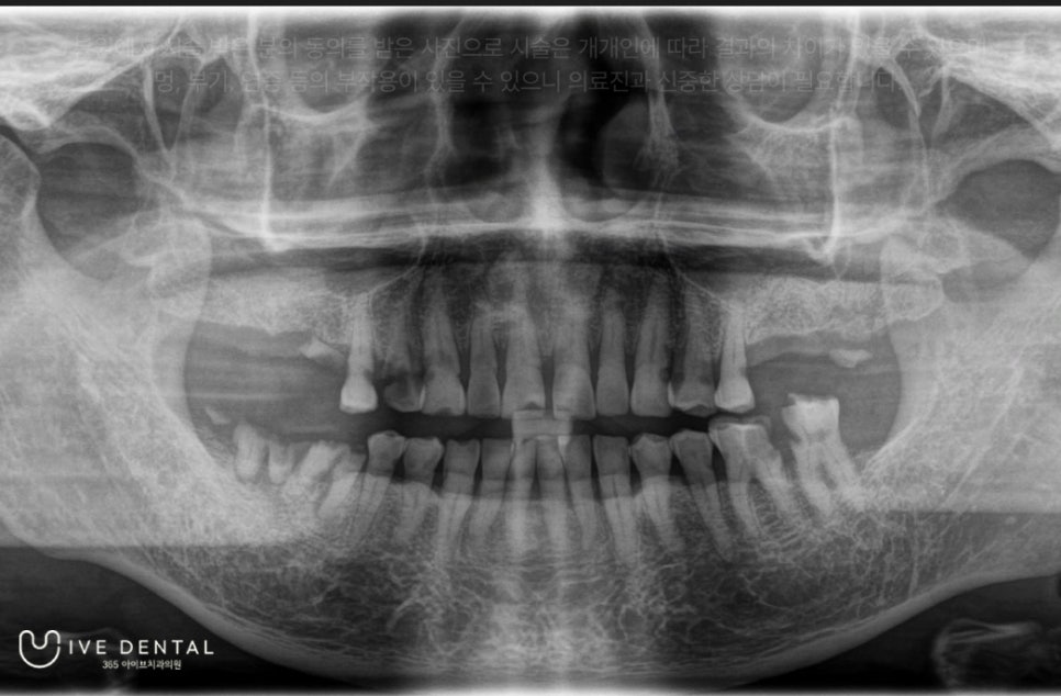
내원 시 찍은 X-ray 사진입니다.

잇몸 전체적으로 염증과 고름이 심하고 부식된 치아도 보입니다.
전체적으로 검진 후 살릴 수 있는 치아는 최대한 살리고 흔들림이 심하여 살릴 수 없는 치아는 뽑고 임플란트 시술을 하기로 하셨습니다.
본원에서 현재 수술 대기가 2~3주 정도 걸리고 있는 상황이나 환자분 상태가 심각하여 연장근무를 감안 하고
당일 수술을 할 수 있도록 스케줄을 맞춰 드렸는데요.
환자분께서는 통증이 심하여 수면 치료도 원하시어 수면 임플란트로 진행해 드렸습니다.

저희 아이브치과에서는 대표원장인 제가 수면치료에 대한 교육을 수료하였고
수면 전담 간호사분도 상주하고 계십니다.
또한 여러 가지 모니터링 기계로 환자분의 상태를 체크하면서 수면치료를 하며 약물 용량도 최소한으로만
사용하여 안전하게 수면치료를 하니 전혀 걱정 하지 않으셔도 됩니다.

환자분은 잇몸 상태와 뼈 상태가 좋지 않아 뼈이식도 필요한 상황이었는데요.
이렇게 잇몸 상태가 안 좋은 환자분의 임플란트 식립 시 구강악안면외과 전문의의 실력이 빛을 발하게 됩니다.
임플란트 식립은 땅에 나무를 심는 과정과 같다고 볼 수 있는데요.
지반이 약하거나 심을 수 있는 땅의 깊이가 너무 얕으면 나무를 심어도 고정이 되지 않는 것처럼 임플란트를
식립할 때도 잇몸뼈의 상태가 안 좋으면 임플란트를 심어도 고정이 되지 않게 됩니다.
따라서 이렇게 잇몸 상태가 좋지 않은 환자분들의 경우에는 뼈이식과 더불어 섬세한 식립 스킬이 필요하고요.
이런 환자분일 수록 경험 많은 전문의에게 치료받는 것이 안전하고 보다 좋은 결과를 기대할 수 있습니다.

당일에 수면치료로 임플란트를 식립한 후 사진입니다!
환자분께서도 당일에 통증을 해결하시고 수술까지 다 진행할 수 있어서 매우 만족해하셨고요.
임플란트 이외에 다른 충치 치료도 저희 치과에서 하시기로 하셨습니다.
결과가 좋아서 참 감사할 따름입니다.

오늘은 당일 임플란트에 대해서 설명드렸는데요.
저희 아이브치과에서는 구강악안면외과 전문의인 대표원장이 빠르고 정확하게 임플란트 수술을 진행하므로
당일 임플란트 식립이 가능하며 통증이 걱정인 분들을 위해 수면 임플란트도 가능합니다.
타 치과에서 어렵다고 한 임플란트, 상악동 거상술 등 추가 수술이 필요한 경우, 뼈이식이 필요한 경우 등
여러 복잡한 경우도 전부 수술이 가능하니 언제든 내원하여 상담 받아보세요!
이상 아이브치과 대표원장 구강악안면외과 전문의 박종훈 이었습니다. 감사합니다.

